djmikc
Michael
@djmikc · 11 months ago

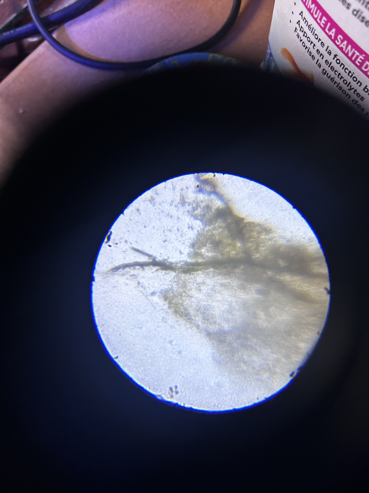
Help got something killing my Duncan’s, Zoas and other corals.

8 photos
8
💬 1

Comments

Sign in to leave a comment

User Avatar @djmikc 348d

Sorry obout the business in the photos but that was made using my sons $16 toy microscope what you are looking at is 900x magnification

Sign in to join the conversation.

Download the ReefBay App
[email protected]
|
©ReefBay 2026

Join The Community

Create an account to contribute to the community

Or continue with
Sign in with Apple
Or continue with
Sign in with Apple

Prefer our mobile app?

QR Code

Scan to download the app

Download ReefBay

Scan the QR code with your phone to download the app

Download ReefBay QR Code

Available on iOS and Android